“打一针” 肿瘤缩小超80%,肝癌“核武器”——钇90微球,究竟有多强?
全球肝癌一半在中国!
肝癌在我国无论是新发病例还是死亡病例,均不容乐观,并且我国肝癌患者的五年生存率仅为12%,原因就在于,肝癌发病隐匿、病情进展迅速,在我国大约70%~80%的肝癌患者在发现时已是中晚期,已经失去了手术根治机会。
无法手术的肝癌患者该怎么办?如何赢得生存希望?抗癌“核武器”钇90微球强势来袭,为肝癌患者迎来新的生机。

决心归国
深扒——钇90树脂
微球究竟为何物?
钇90是一种放射性核素,可以发射出纯β射线。钇90微球简单来说,就是含有放射性钇90物质的树脂微球,它非常小,直径仅有20-60微米,大约为人类头发丝直径的1/2。
钇90树脂微球它的治疗原理,就是通过一次微创介入手术,把数百万个钇90微球注射至滋养肝脏肿瘤的动脉血管,微球随血液进入肿瘤内部,让钇90释放的β射线近距离杀死肿瘤细胞。

由于β射线平均穿透距离仅为2.5毫米,减少了对正常肝脏组织和毗邻器官损伤,而且肝动脉的血流量高,大部分放射性物质均由肝肿瘤吸收,正常细胞接收极少,这种治疗方式更直接、更精准,而且最大程度避免了传统化疗放疗方式“杀敌一千,自损八百”带来的损伤。

钇90放射性微球技术在国外已经有20多年的应用历史,无论是单用,还是与生物疗法、免疫疗法、靶向疗法等其他治疗方式联用,均可能为肝癌患者带来明显临床获益,是一种被证实的安全有效的疗法,并且被欧洲肝脏研究学会、欧洲肿瘤内科学会、美国国立综合癌症网络等机构发布的指南推荐作为治疗原发性肝癌及结直肠癌等肝转移瘤的方式之一。
钇90树脂微球被注入患者肝脏血管后,会释放高能量β放射线,可近距离对肿瘤细胞实施精准打击,且对肝脏周围的正常组织没有影响。




△90Y微球治疗过程详解






决心归国
钇90树脂微球
究竟厉害在哪里?

其厉害之处主要体现在以下几方面:



决心归国
钇90微球 实现肝癌从
“不可愈”到“可愈”

决心归国
钇90树脂微球
适合哪些肝癌患者?

来源:波士顿科学官网
以下几类肝癌患者更适合钇90树脂微球治疗:
失去手术机会的肝癌患者;
有手术根治机会,但患者因自身原因不愿意接受手术的,一是患有某些基础病,如心脏血流不畅、门静脉阻塞、肝功能较差等,二是年龄较大,考虑手术风险,拒绝做手术的患者;
正在等待肝移植的患者,在等待肝源的过程中,肿瘤会持续增长,钇90微球能够缩小病灶,从而帮助患者安全过渡到找到肝源后再进行肝脏移植;
轻度肝硬化或无肝硬化,肿瘤不超过肝脏的70%,并且单个肿瘤直径小于8厘米,没有血管侵犯的患者。
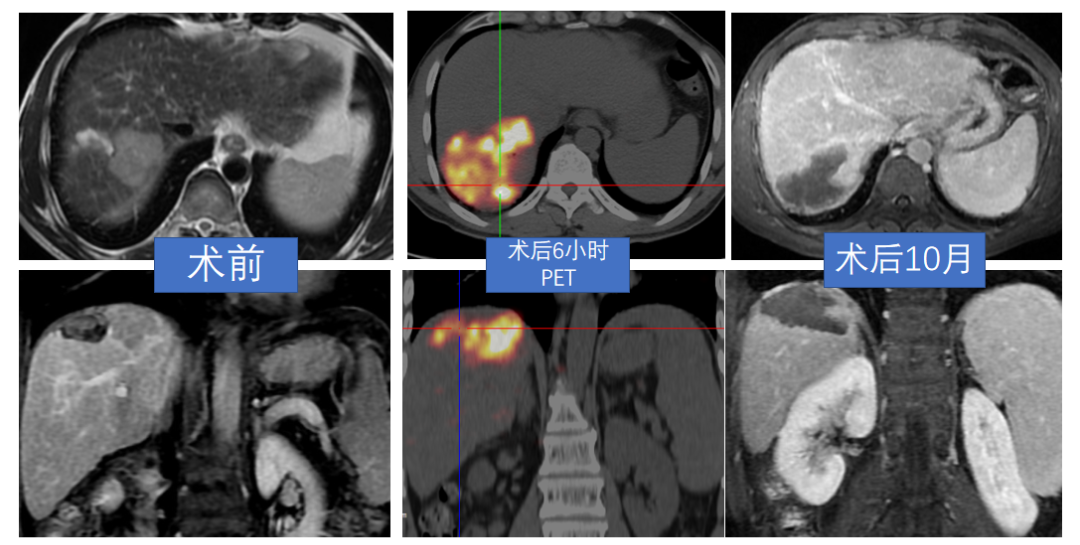
大陆第一例放射性切肝段切除
患者肝7段2.5x1.8x1.5cm肿块,行S7肿瘤+胆囊切除,病理报HCC、有微脉管侵犯,1年后复查:AFP:10021.9ng/ml,右肝S8见4.0cm肿块。
术后10个月复查,肿瘤全坏死,患者未出现任何治疗相关副反应。该案例表明,Y90微球放射性肝段切除治疗HCC安全有效。

连续随访24个月肿瘤完全坏死,肿瘤标志物正常。

为巨大肝癌桥接手术提供希望
肝部右叶巨块肿瘤占位,大小约16cm×13.3cm×15.1cm,乙肝病史10年多,APF:337ng/ml,肝功能:Child-Pugh A6分。ECOG 体态评分 0 ,诊断:HCC:CNLC分期:IIIb期。因肿瘤体积较大、残余肝体积不足,行钇90树脂微球治疗。术后3个月肿瘤明显缩小,未见明显活性肿瘤细胞,肿瘤萎缩,而正常肝左叶明显增大;于术后5个月,成功进行外科切除。

肝巨大肿瘤合并门静脉瘤栓
肝右叶巨块占位15.7cm,Child分级B级 7分,PS评分0分,少量腹水,AFP:5225ng/ml,PIVKV-II 22966.4mAU/ml,门脉癌栓形成,腹腔淋巴结转移,诊断 HCC CNLC分期 IIIb

术后随访1~6个月
肝细胞肝癌门静脉瘤栓
肝右后叶大病灶,左叶小病灶,肝右静脉、门静脉主肝癌,AFP:160.6ng/ml
,异常凝血酶原6993.75nAU/ML,肝功能:A级,CNLC分期:IIIb期

术后2个月复查

术后5月超声随访
牛惠敏
主任医师 教授
中国钇90微球治疗领军人物
社会头衔:
中国肿瘤内照射医学专委会主任委员
中国首例钇90树脂微球手术专家
中国首例钇90玻璃微球手术专家
中国首位钇90树脂、玻璃微球治疗双认证专家
中国钇90微球治疗技术督导专家
中国中医药信息学会综合介入专业委员会副主委
海南省肿瘤防治学会介入专业委员会主任委员
海南省肿瘤免疫治疗学会副会长
专业擅长
擅长肝恶性肿瘤的钇90治疗,肝癌、肺癌、肾癌、前列腺癌、食道癌、贲门胃底癌等全身各部各种肿瘤的血管性介入治疗和非血管介入治疗(射频消融、微波消融、氩氦刀消融治疗、放射性粒子植入)、PVP成形术、腔道成形术、全身各部位血管缺血性疾病和出血性疾病介入治疗、神经系统肿瘤介入治疗、妇科疾病介入治疗等。
专家简介
从事介入医学的临床科研、教学近40年,在肿瘤介入治疗领域做出了卓越贡献,尤其在钇90治疗肝癌方面具有丰富的临床经验和深厚的专业造诣。截止2023年9月施行肝癌钇90手术180多台,有超过5万台的介入手术经验。擅长各类肝恶性肿瘤的钇90治疗及周围血管、脑血管脊柱、泌尿系统等疾病的介入治疗。在我国首先开展了子宫肌瘤的介入治疗,举办全国性的妇科介入培训班22期,获各级科技奖22项。

